Tubulovillous adenoma เป็น adenomatous polyp ที่มักพบในลำไส้ใหญ่และถือเป็นรอยโรคก่อนมะเร็ง โดยมักเกี่ยวข้องกับการกลายพันธุ์ของยีน APC และ KRAS อย่างไรก็ตาม การพบเนื้องอกชนิดนี้ในช่องคลอดพบได้ยากมาก รายงานนี้นำเสนอกรณี tubulovillous adenoma ในช่องคลอดที่มีการกลายพันธุ์ของ KRAS และ APC ซึ่งช่วยเพิ่มความเข้าใจพื้นฐานทางโมเลกุลของเนื้องอกที่หายากชนิดนี้
KRAS (Kirsten Rat Sarcoma Viral Oncogene Homolog)
- เป็นยีนที่อยู่ในกลุ่ม RAS ซึ่งมีบทบาทในการควบคุมการเจริญเติบโตและการแบ่งตัวของเซลล์
- เป็น oncogene หรือยีนที่กระตุ้นการเกิดมะเร็งเมื่อเกิดการกลายพันธุ์
- มีบทบาทในเส้นทางสัญญาณ RAS/MAPK ซึ่งควบคุมการเจริญเติบโตและการแบ่งตัวของเซลล์การกลายพันธุ์ของ KRAS ทำให้โปรตีนอยู่ในสถานะ active ตลอดเวลา ส่งผลให้เซลล์แบ่งตัวอย่างไม่สามารถควบคุมได้
- พบการกลายพันธุ์ของ KRAS ได้บ่อยใน มะเร็งลำไส้ใหญ่ มะเร็งตับอ่อน มะเร็งปอด และมะเร็งชนิดอื่น
- การกลายพันธุ์ของ KRAS มักทำให้เซลล์ดื้อต่อการรักษาด้วยยากลุ่ม anti-EGFR (เช่น Cetuximab, Panitumumab)
APC (Adenomatous Polyposis Coli)
- เป็น tumor suppressor gene หรือยีนกดมะเร็ง ซึ่งมีหน้าที่ป้องกันการเกิดมะเร็ง
- ควบคุมการทำงานของโปรตีน β-catenin ในเส้นทาง Wnt* signaling pathway เพื่อป้องกันการแบ่งตัวของเซลล์ที่ผิดปกติ
*Wnt pathway เป็นเส้นทางการส่งสัญญาณภายในเซลล์ที่มีความสำคัญต่อการควบคุมการเจริญเติบโต การพัฒนา การแบ่งตัว และการอยู่รอดของเซลล์ เส้นทางนี้เกี่ยวข้องกับโปรตีนที่เรียกว่า Wnt ซึ่งทำหน้าที่เป็น ligand ในการกระตุ้นการส่งสัญญาณ
- การกลายพันธุ์ของ APC ทำให้ β-catenin สะสมมากขึ้น ทำให้เซลล์แบ่งตัวผิดปกติและนำไปสู่การเกิดมะเร็ง
พบการกลายพันธุ์ของ APC ได้ใน มะเร็งลำไส้ใหญ่ (โดยเฉพาะ Familial Adenomatous Polyposis หรือ FAP)

ภาพ 1 APC inactive ทำให้เซลล์เจริญผิดปกติและเกิดติ่งเนื้อ (polyp) ต่อมา KRAS ทำให้ติ่งเนื้อนั้นพัฒนาเป็นมะเร็ง
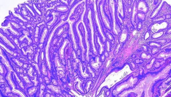
เนื้องอก Tubulovillous
เป็นประเภทของ Polyp คือติ่งเนื้อจากการเจริญเติบโตที่ผิดปกติของเซลล์ที่ยื่นออกมาจากพื้นผิวของเนื้อเยื่อ มักพบในระบบทางเดินอาหาร ลำไส้ใหญ่และทวารหนัก เริ่มต้นจาก Glandular ที่ปกคลุมพื้นผิวTubulovillous adenoma ถือเป็นภาวะมะเร็งเนื่องจากส่วนใหญ่มีศักยภาพที่จะพัฒนาเป็นมะเร็งเมื่อเวลาผ่านไปหากปล่อยทิ้งไว้โดยไม่ได้รับการรักษา Tubulovillous adenoma พบได้บ่อยในระบบทางเดินอาหาร แต่พบได้น้อยมากในช่องคลอด มีการรายงานเพียง 16 รายในงานวิจัย 4 กรณีเกี่ยวข้องกับมะเร็งต่อมน้ำเหลืองที่ลุกลามไปยังลำไส้ และ 1 กรณีมีประวัติเป็นมะเร็งต่อมน้ำเหลืองในทวารหนัก

ภาพ 2 Tubulovillous adenoma
การศึกษานี้มีความพิเศษเนื่องจากมีการกลายพันธุ์ของยีน KRAS และ APC ซึ่งเป็นปัจจัยสำคัญในการพัฒนา Tubulovillous adenoma ที่พบในช่องคลอด
รายงานผู้ป่วย
ผู้ป่วยหญิงรายหนึ่งมีอาการผิดปกติทางช่องคลอด เมื่อตรวจพบก้อนเนื้องอกในช่องคลอด จึงได้ทำการตรวจชิ้นเนื้อ การตรวจชิ้นเนื้อถูกตีความว่าสอดคล้องกับมะเร็งต่อมน้ำเหลือง ผู้ป่วยไม่ได้รับการตรวจหรือการรักษาเพิ่มเติมในขณะนั้น 19 เดือนต่อมาเธอพบว่าก้อนเนื้องอกในช่องคลอดมีขนาด 2.3×1.8×1.3 ซม. ก้อนเนื้อถูกตัดออกจนหมดและตรวจทางพยาธิวิทยา ผลตรวจชี้ว่าเป็น Tubulovillous การทบทวนเวชระเบียนไม่แสดงอาการใด ๆ ที่เกี่ยวข้องกับระบบทางเดินอาหาร และต่อมน้ำเหลือง ผู้ป่วยเสียชีวิตเมื่ออายุ 76 ปี จากสาเหตุที่ไม่เกี่ยวข้องกับมะเร็ง 2 ชนิดนี้ ชิ้นเนื้อช่องคลอดและปากช่องคลอดแสดงลักษณะทางจุลพยาธิวิทยาเหมือนกัน พบ tubulovillous adenoma ซึ่งประกอบด้วยเซลล์มะเร็งแบบ columnar-shaped** ร่วมกับ elongated hyperchromatic nuclei***
**เซลล์ที่มีรูปร่างคล้ายคอลัมน์ โดยมักพบในเนื้อเยื่อที่มีเซลล์ columnar อยู่ เช่น ลำไส้ หรือ ทางเดินหายใจ เซลล์ที่มีลักษณะเป็น columnar สามารถแปรสภาพไปเป็นเซลล์มะเร็งได้ภายใต้สภาวะที่ไม่ปกติ ซึ่งมักเกี่ยวข้องกับการเจริญเติบโตและการแสดงออกของยีนที่ผิดปกติ
***เซลล์มะเร็งมักมีการแบ่งตัวที่เร็ว ซึ่งทำให้โครมาตินในนิวเคลียสมีความหนาแน่นมากขึ้นและเกิดการยืดของนิวเคลียสจนไม่เป็นทรงกลม หรือการกลายพันธุ์ในยีนที่ควบคุมการแบ่งตัวของเซลล์ (เช่น TP53 หรือ RAS) อาจทำให้เกิดการเปลี่ยนแปลงในลักษณะนิวเคลียสที่ยืดหยุ่นและเข้มขึ้น
ผลการตรวจสอบ
- การตรวจสอบทางพยาธิวิทยาแสดงให้เห็นว่าเนื้องอกทั้งสองมีการแสดงออกของ Marker ชนิด CK20§ และ CDX-2§ ขณะที่ไม่มีการแสดงออกของ CK7§ ซึ่งบ่งชี้ถึงต้นกำเนิดจากระบบทางเดินอาหาร
Cytokeratin 20 (CK20) เป็นโปรตีนที่แสดงออกในเซลล์ epithelial ที่พบในลำไส้ไหญ่ กระเพาะอาหารและผิวหนัง, CDX-2 เป็นโปรตีนที่แสดงออกในระบบทางเดินอาหาร เช่นลำไส้ใหญ่และลำไส้เล็ก, Cytokeratin 7 (CK7) เป็นโปรตีนที่อยู่ในกลุ่มเซลล์ epithelial ที่พบในปอด รังไข่ ตับ และไต
- เทคโนโลยี MassARRAY® โดย Agena Bioscience ถูกใช้ในการระบุตัวกระตุ้นการกลายพันธุ์ของ G13D (c.38G>A, p.Gly13Asp) ในยีน KRAS ในในทั้งชิ้นเนื้อช่องคลอดและปากช่องคลอด
- การวิเคราะห์ทางโมเลกุลพบว่ามีการกลายพันธุ์ G13D ในยีน KRAS ในทั้งชิ้นเนื้อช่องคลอดและปากช่องคลอด ยังพบการกลายพันธุ์แบบ frameshift truncating (c.4320delA) ในยีน APC จากการศึกษาด้วย Next-Generation Sequencing ในชิ้นเนื้อช่องคลอด การกลายพันธุ์นี้บ่งชี้ว่าแม้เนื้องอกชนิดนี้จะพบในช่องคลอด แต่มีลักษณะทางชีวโมเลกุลคล้ายกับที่พบในระบบทางเดินอาหาร
กรณีนี้มีความสำคัญโดยเฉพาะอย่างยิ่ง แสดงให้เห็นถึงกรณีของ tubulovillous adenoma ที่เกิดขึ้นในช่องคลอดและปากช่องคลอด โดยมีการกลายพันธุ์ในยีน KRAS และ APC เป็นครั้งแรก ซึ่งช่วยให้เข้าใจพื้นฐานทางโมเลกุลของเนื้องอกที่หายากนี้ได้ดีขึ้นและอาจมีผลต่อแนวทางการรักษาในอนาคต
อ้างอิง
Shuangshoti, S., & Teerapakpinyo, C. (2019). Tubulovillous adenoma of vagina with both KRAS and APC Mutations: case report. International Journal of Gynecological Pathology, 38(5), 498-501.